Societas Neurologica Japonica 一般社団法人 日本神経学会

Ahead of Print

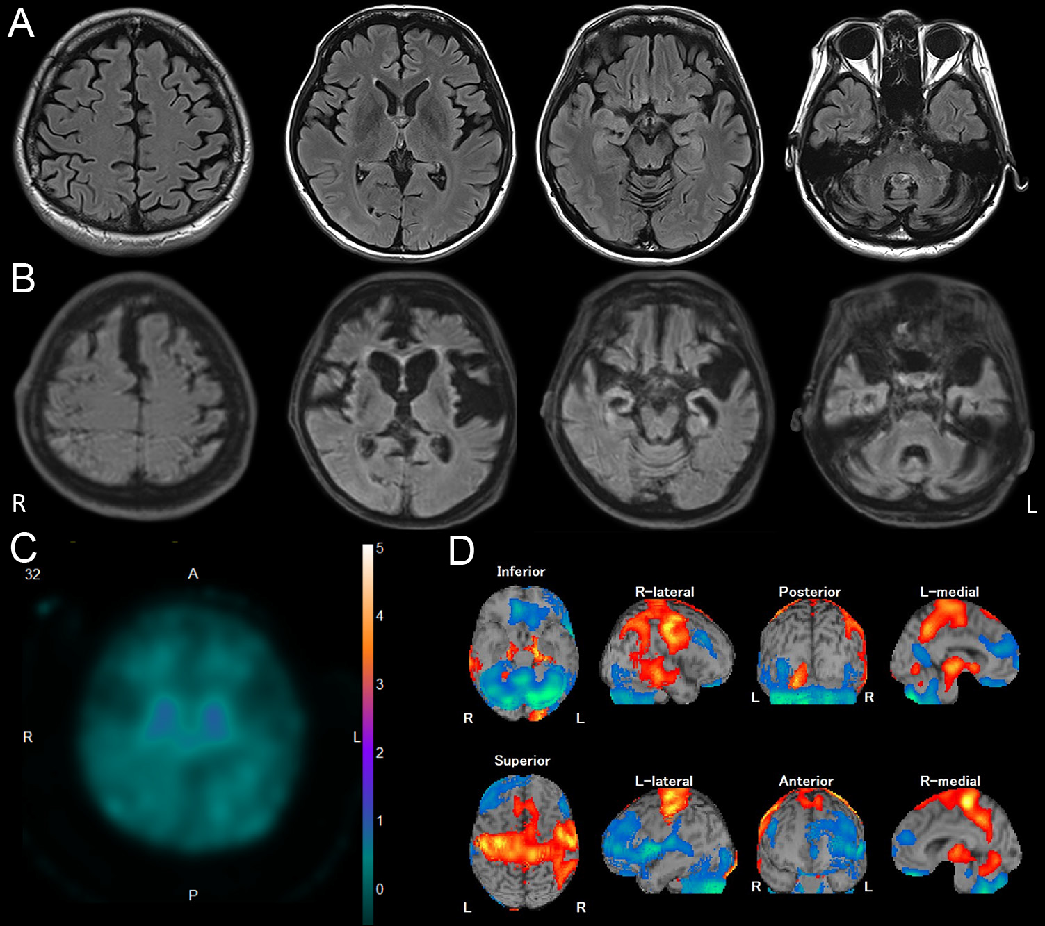
小児期に発症し49歳までの長期経過を観察し得たホスホリパーゼA2group6関連神経変性疾患女性例
A female case of phospholipase A2 group VI-associated neurodegeneration with childhood onset and long-term follow-up until 49 years of age
三森 雅広, 金澤 恭子, 佐藤 和貴郎, 雑賀 玲子, 弓削田 晃弘, 瀧山 嘉久, 髙橋 祐二
Masahiro Mimori, Kyoko Kanazawa, Wakiro Sato, Reiko Saika, Akihiro Yugeta, Yoshihisa Takiyama, Yuji Takahashi
2026/03/11
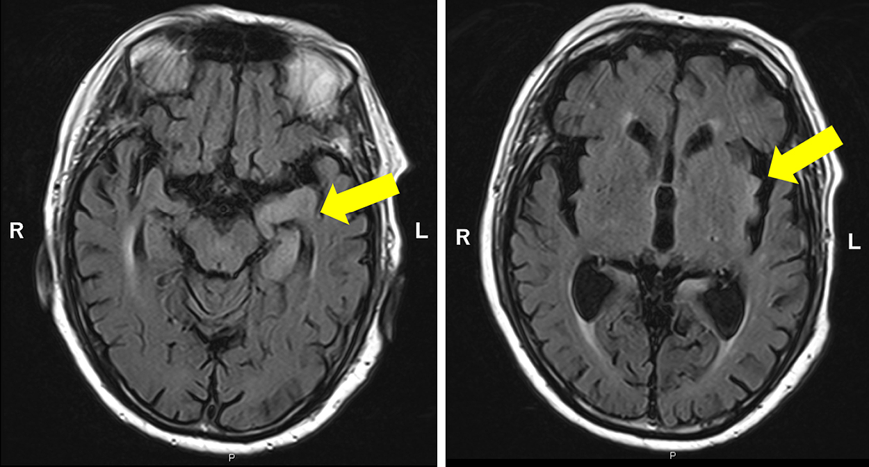
Claustrum signを呈したfebrile infection related epilepsy syndrome(FIRES)の55歳女性例
Febrile infection-related epilepsy syndrome (FIRES) with the claustrum sign in a 55-year-old woman: a case report
赤尾 剛, 市川 大, 藤盛 寿一, 中島 一郎
Go Akao, Dai Ichikawa, Juichi Fujimori, Ichiro Nakashima
2026/03/11
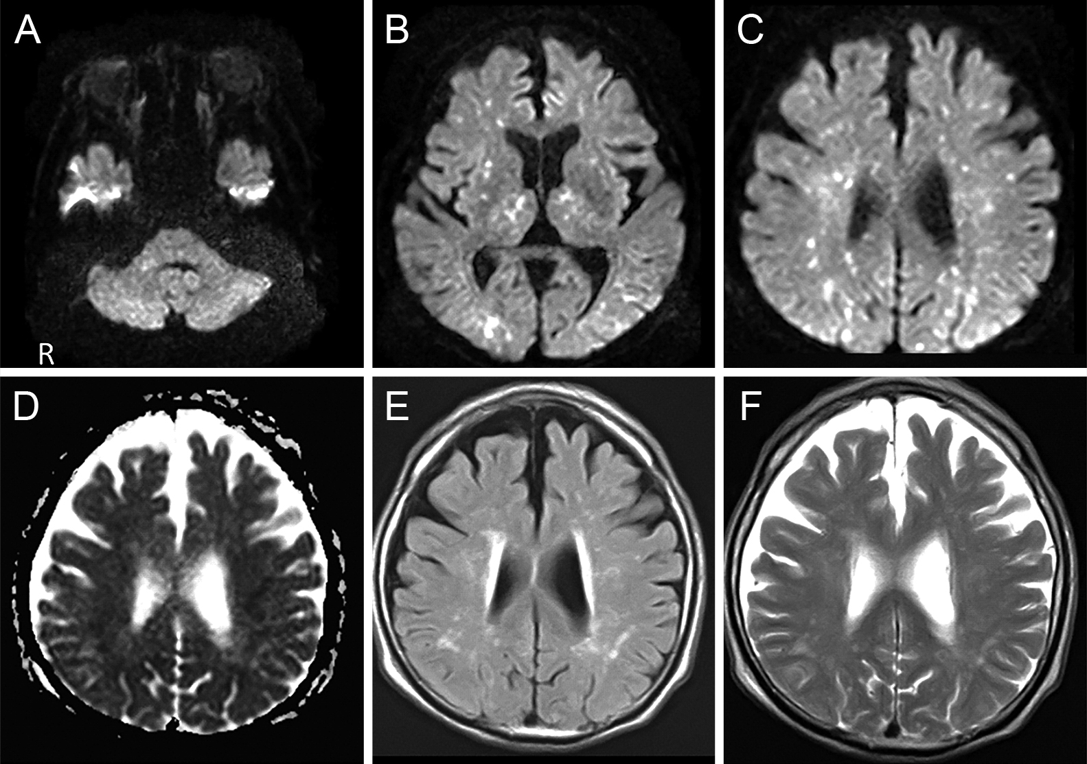
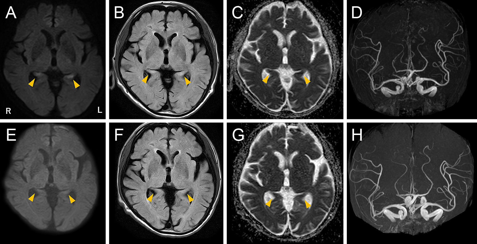
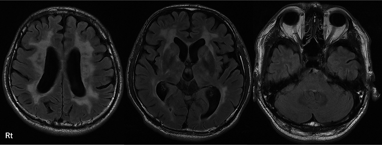
Shrimp signが診断に有用であった小脳限局型HIV関連進行性多巣性白質脳症の1例
A case of cerebellar-limited HIV-associated progressive multifocal leukoencephalopathy diagnosed with the aid of the shrimp sign
小塩 媛子, 黒田 岳志, 野原 哲人, 松岡 馨, 和田 隆秀, 村上 秀友
Himeko Ojio, Takeshi Kuroda, Tetsuhito Nohara, Kaoru Matsuoka, Takahide Wada, Hidetomo Murakami
2026/03/11
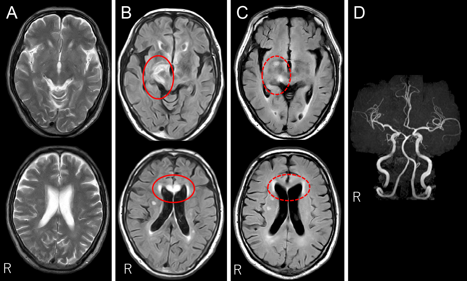
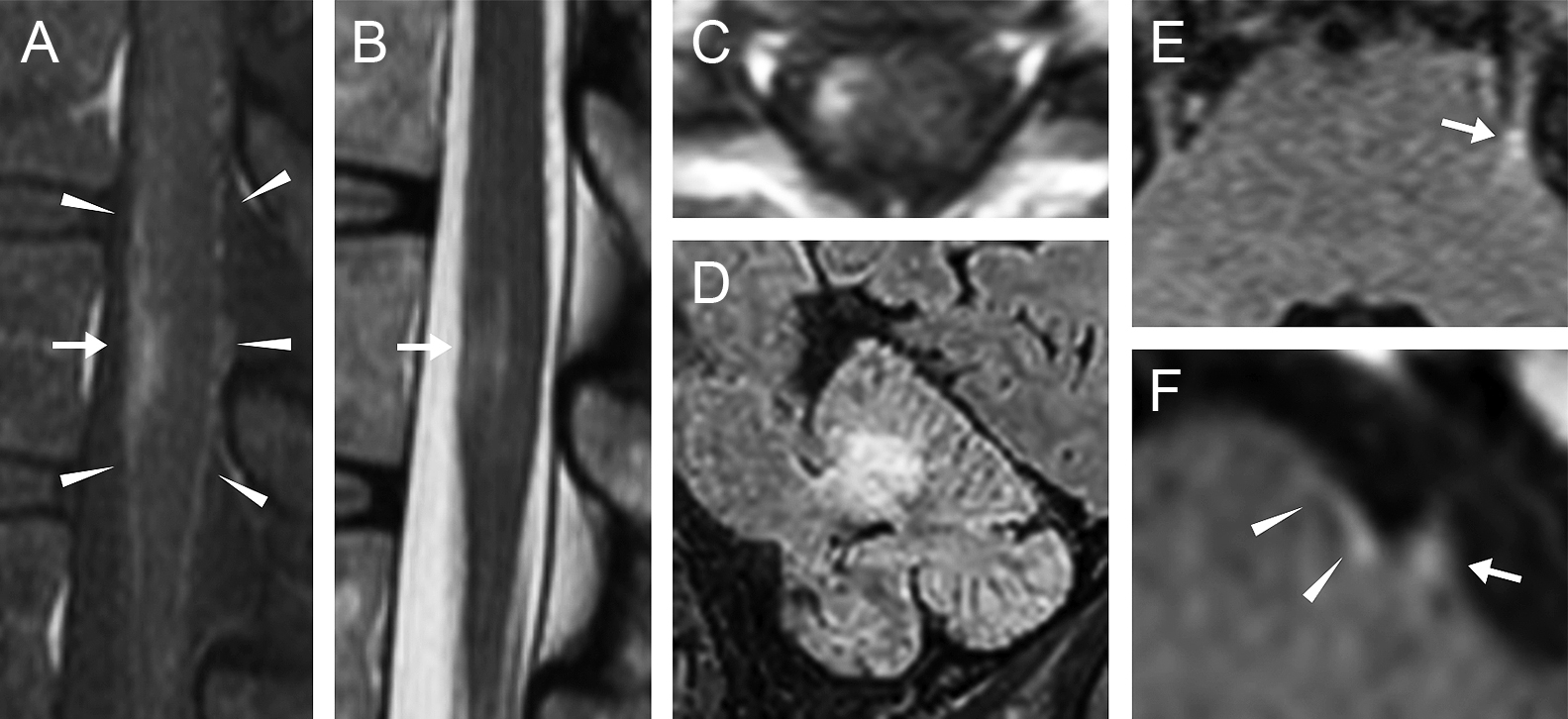
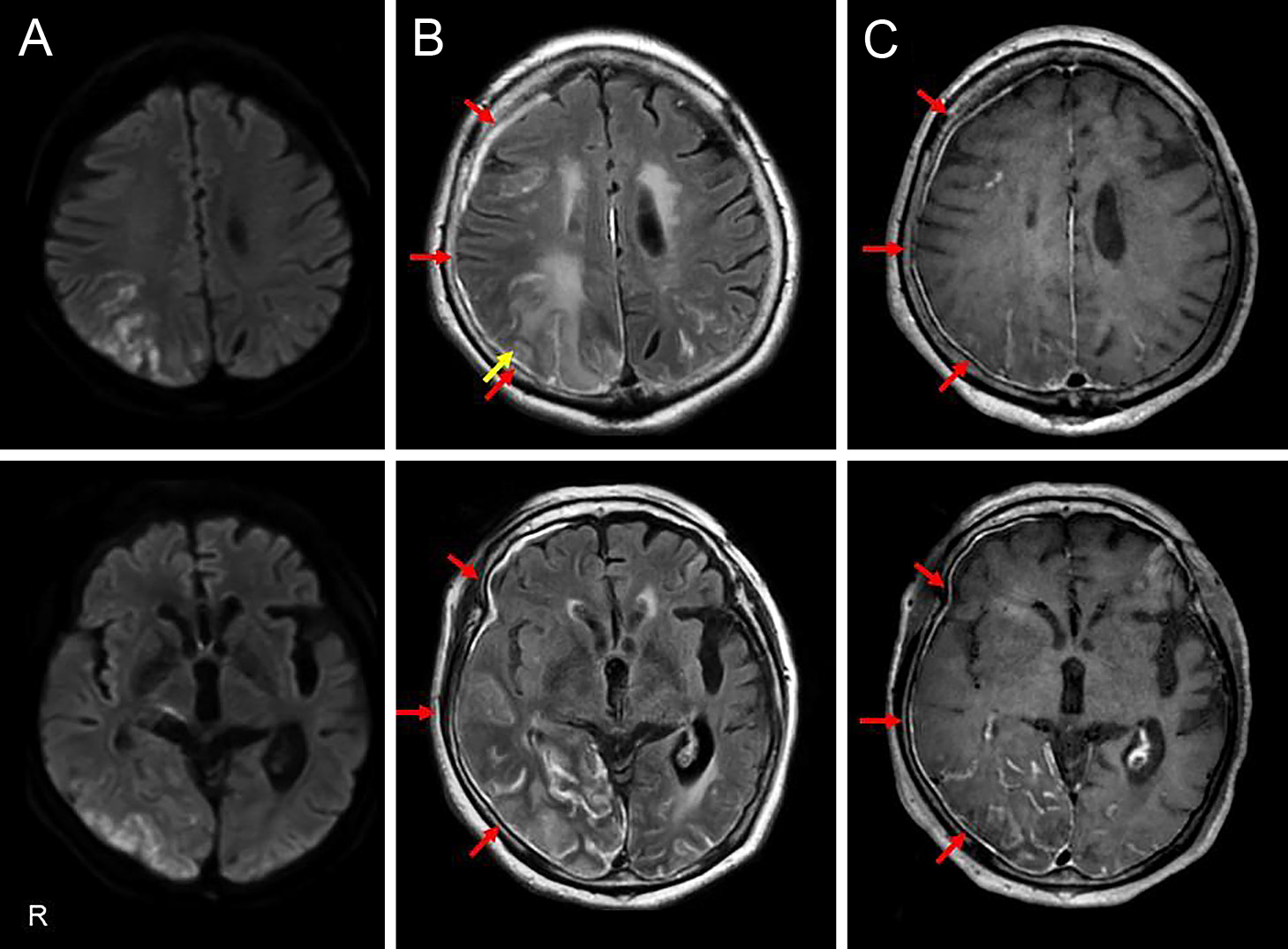
脊髄MRIや髄液検査で異常を認めなかった抗myelin-oligodendrocyte glycoprotein(MOG)抗体関連疾患の1例
A case of anti-myelin-oligodendrocyte glycoprotein (MOG) antibody-associated disease without abnormal findings on spinal MRI and cerebrospinal fluid examination
若月 里江, 武内 智康, 岡 耕太, 竹ノ内 晃之, 渡邊 一樹, 中村 友彦
Rie Wakatsuki, Tomoyasu Bunai, Kouta Oka, Akiyuki Takenouchi, Kazuki Watanabe, Tomohiko Nakamura
2026/03/11
急性神経疾患における神経集中治療医の役割~心停止後症候群の神経学的予後予測を中心に~
The role of neurointensivists in neuropalliative care
野田 浩太郎, 野坂 宜之, 塩田 修玄, 原 宏彰, 安田 柊平, 寺北 茉比呂, 一二三 亨, 黒田 泰弘, 若林 健二, 三澤 園子
Kotaro Noda, Nobuyuki Nosaka, Nobuhiro Siota, Hiroaki Hara, Shuhei Yasuda, Mahiro Terakita, Toru Hifumi, Yasuhiro Kuroda, Kenji Wakabayashi, Sonoko Misawa
2026/03/11
卵巣成熟奇形腫を合併した抗NMDA受容体抗体陰性自己免疫性脳炎に対して早期の腫瘍摘出術が奏効した18歳女性例
A case of autoantibody-negative autoimmune encephalitis associated with mature ovarian teratoma, successfully treated with early ovariectomy
髙橋 健祐, 佐々木 拓也, 川﨑 怜子, 前田 れな, 角田 幸雄, 今福 一郎
Kensuke Takahashi, Takuya Sasaki, Reiko Kawasaki, Rena Maeda, Yukio Kakuta, Ichiro Imafuku
2026/02/13
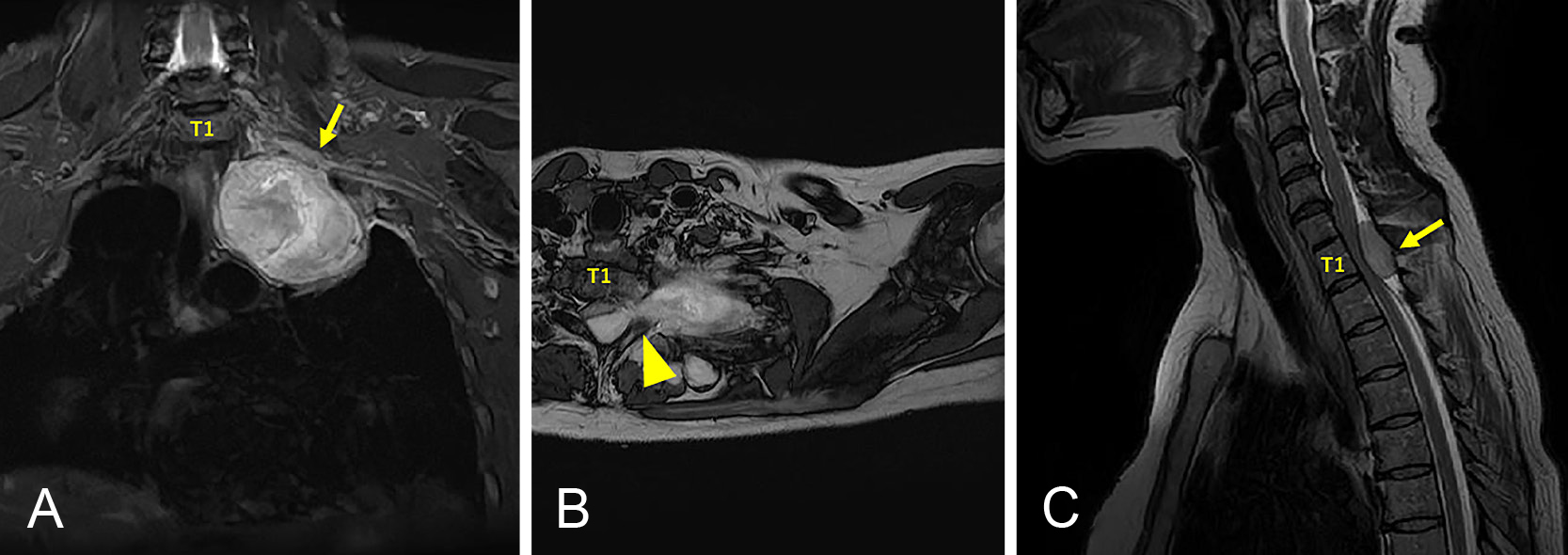
A case of myelin oligodendrocyte glycoprotein antibody-associated disease presenting with radiculopathies
Sunao Takahashi, Takashi Irioka, Ryo Iwase, Susumu Igarashi, Toshiyuki Takahashi
2026/02/13
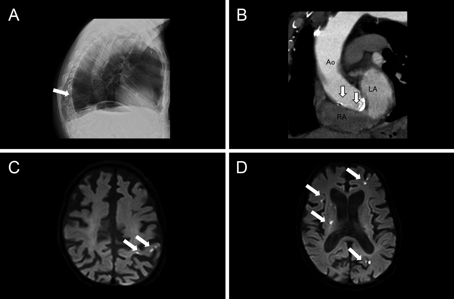
直接経口抗凝固薬内服にもかかわらず脳梗塞を発症した心房細動患者に対する経皮的左心耳閉鎖術:症例報告
Percutaneous left atrial appendage closure for atrial fibrillation-related ischemic stroke despite direct oral anticoagulation: a case report
川端 健新, 江頭 柊平, 村松 恭祐, 逸見 文昭, 宇羽野 恵, 小西 明範, 大森 奈美, 山口 徹雄, 児玉 隆秀, 上坂 義和
Kenshin Kawabata, Shuhei Egashira, Kyosuke Muramatsu, Fumiaki Henmi, Megumi Ubano, Akinori Konishi, Nami Omori, Tetsuo Yamaguchi, Takahide Kodama, Yoshikazu Uesaka
2026/02/13
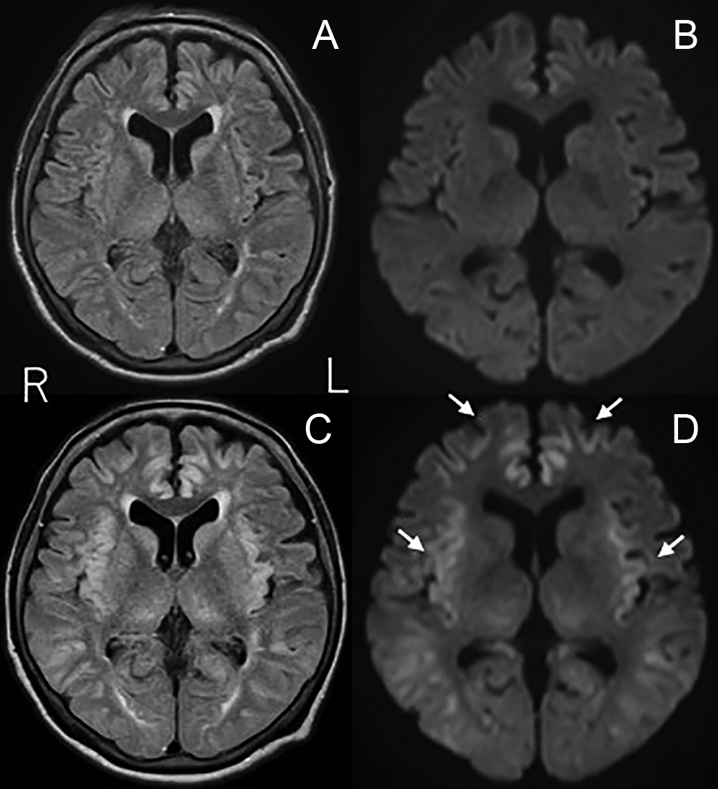
慢性炎症性脱髄性多発神経根炎でステロイドを投与中にヒトヘルペスウイルス6A脳炎を発症した89歳男性の症例
A case report: an 89-year-old man taking prednisolone for chronic inflammatory demyelinating polyradiculoneuropathy diagnosed with human herpesvirus 6 variant A encephalitis
吉武 沙和佳, 朴 文英, 佐久間 美帆, 市野瀬 慶子, 水谷 真之, 渡邊 睦房
Sawaka Yoshitake, Bunei Paku, Miho Sakuma, Keiko Ichinose, Saneyuki Mizutani, Mutsufusa Watanabe
2026/02/13
筋疾患の診療支援と教育―日本とアジアでの経験から得られた知見―
Clinical support and education in muscle disease—Experiences from Japan and Asian regions—
西野 一三
Ichizo Nishino
2026/02/13